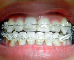
矯正治療(歯を抜かない矯正)
院長の手作業によるオーダーメード矯正により、早期に結果の出るのが特徴です!
矯正治療のイメージとはどのようなものでしょうか?
・歯を抜かれる!
・時間がかかる!
・痛い!
・メンテナンスが大変!など、
綺麗な歯並びは魅力だが、それまでの我慢が大変で・・・と、思われている方が大半です。
そのような中、まず当院の矯正治療は、すべて非抜歯(親知らず以外)にておこなっています。
そして何より、院長の手作業によるオーダーメードの矯正器具製作・装着により、
早い期間で結果が出て喜ばれております。
人の奥歯でかむ力は70キロ前後といわれています。
上下左右の奥歯4本ずつが80年使いつづけなければいけません。
それを3本ずつにするとどうなるでしょう?
当医院の矯正治療は、すべて非抜歯(親知らず以外)にておこなっています。
かみ合わせについて
悪い歯並びだと以下の症状の原因となります。
・虫歯の原因になる ・歯周疾患になりやすい ・顎関節症の大きな原因 ・心理的な影響
・発音、咀嚼機能に影響
噛むことの大切さ
噛むことは人間にとって非常に重要な役割を担ってます十分に噛めることが、内臓疾患の減少、脳への刺激、顎の発達に影響を与えます。
・胃腸を快適に ・肥満防止 ・味覚の発達 ・顎の発育 ・脳の発達を促進 ・がんの予防
・歯の病気予防
・発音の発達 ・唾液分泌の促進
プレオルソ(歯ならび矯正法)
永久歯に生え変わってからの矯正は、全ての歯にギラギラした装置をつけるいわゆる「本格矯正」になりますが、この治療法であれば小児(6才~10才)の骨の軟らかい時期に使うことで、非常に大きな効果が期待できます。
「プレオルソ」は「咬み合わせ」と「歯ならび」を改善すると同時に機能的な側面「口呼吸から鼻呼吸へ」が非常に重要と考えています。
マウスピースを使うこの治療法は子どもの成長発育にとても大切です。
マウスピース式は違和感や痛みがそれがほとんどありません。
装着時間は就寝時と家にいる時のみで十分です。
また、食事の時に装置をはずせるので虫歯の心配もありません。

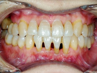
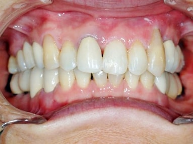
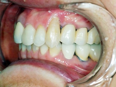
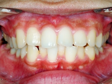
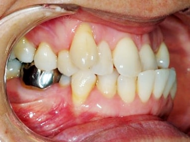
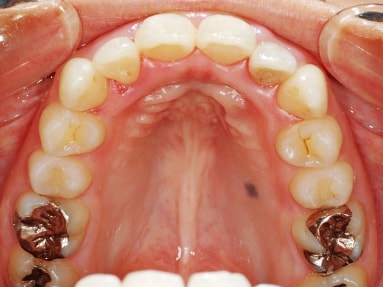
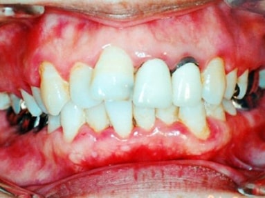
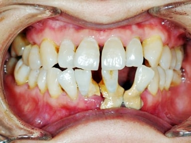
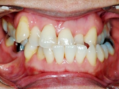
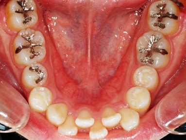
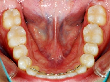
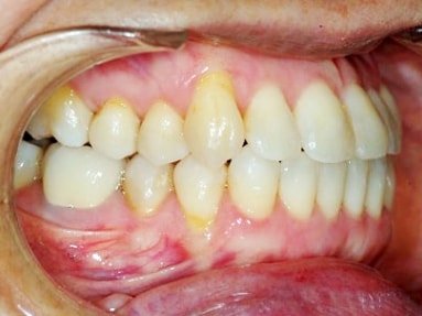
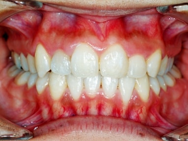
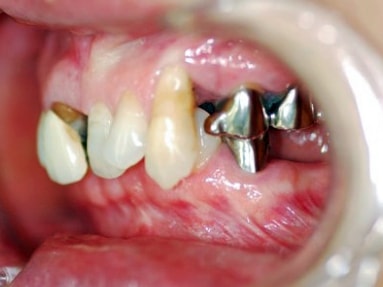
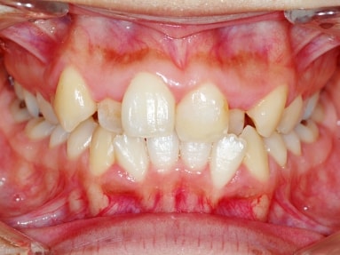
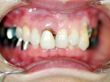
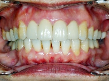
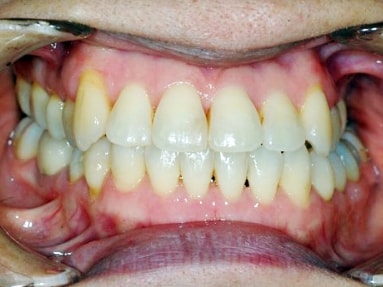
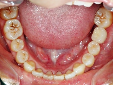
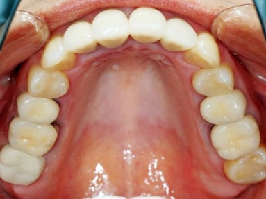
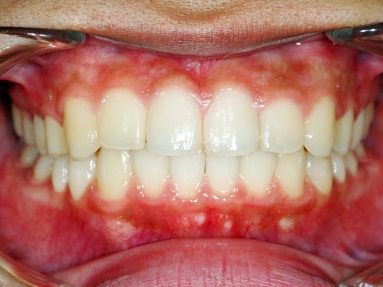
矯正治療症例
治療期間10ヶ月
18歳の方です。
治療期間10ヶ月
23歳の方です。
治療期間1年2ヶ月
58歳の方です。
治療期間1年4ヶ月
56歳の方です。
治療期間1年
62歳の方です。
