一般歯科・当院の特徴
当院では、一般歯科、小児歯科、予防歯科、矯正歯科、審美、インプラント治療の技術を別々にするのではなく、それぞれ善い所を組み合わせ全体的なかみ合わせ治療をご提供致します。
末永く噛める喜びを感じて、すてきな笑顔でいてもらい、地域の皆様に喜んでいただける歯科医院を目指しています。
虫歯と歯槽膿漏の治療、および歯牙欠損部の補う治療 を主とする歯科診療を「一般歯科」と
言います。
小児歯科、矯正科、口腔外科などと区別するために呼び名が用いられおり、
当クリニックで、最もメインな診療項目となります。
お口の中の全体の問題を診断して、根本的な治療をご提案致しております。
予防歯科
予防歯科とは、ひとことで言うなら 「口内の健康を維持し、美しい歯を育てる」 ことです。
日々の虫歯予防できちんと歯磨きして自分でできることはあります。
しかし、どうしてもプロに任せないとできない虫歯予防の方法があるのです。
たとえば、お茶、コーヒー、タバコなどの汚れを完全に落とす治療をします。
虫歯や歯周病、この先問題が生じそうな部分のチェックを行い、その方に適した食事アドバイス、正しいホームケアを丁寧に指導し、歯石およびコーヒー、お茶、タバコなどによる歯表面の着色除去、PMTC(プロが行うクリーニング)、フッ素療法を行います。
PMTC
専門のトレーニングを受けた衛生士が、専用の器具を使って行う口腔内清掃です。
歯石・プラークはもちろんのこと、
歯ブラシだけでは取れないバイオフィルムや(むし歯や歯周病を引き起こす細菌のかたまり)、
自分では取れないすき間に残った汚れを徹底的に除去します。
フッ素塗布
虫歯になる原因に対して、フッ素塗布により「歯」と「お口の中の細菌」に作用し、
虫歯になりにくくする効果があるとされています。
1. 唾液中に含まれるミネラルの沈着を促進し、再石灰化を助ける
2. 歯の質を強化し、酸から歯を溶けにくくする
3. 酸の生成を抑える
乳幼児・子どもへの効果
「生えたての乳歯」や「生えたての永久歯」は、歯の質が弱く虫歯になりやすいため、
フッ素を塗ると予防効果を大きく期待できるとされています。
成人への効果
歯周病や部分入れ歯の使用によって、顎の骨や歯茎が痩せて(吸収して)しまい、普段なら歯茎で覆われているはずの歯の内部のセメント質や象牙質が露出してくることがあります。
セメント質や象牙質はエナメル質(歯茎から上の歯の表面部分)よりも弱く虫歯になりやすいため、歯ぐきが露出してしまった場合には、フッ素を塗ることで虫歯のリスクを下げることに役立つとされています。
セルフケア
当院では様々な衛生用品を取り扱っております。
歯ブラシ、歯磨き粉、歯間ブラシなど、みなさまに適したものをおすすめしております。
是非、歯科医院推奨の製品を使ってみて下さい。
ご満足いただけることと思います。
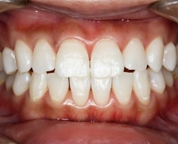
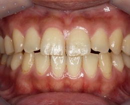
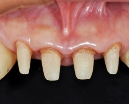
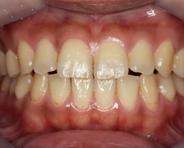
審美性を伴う歯科治療
人の第一印象は、笑顔で決まります。
審美性を伴う歯科治療とは、歯の色や並び、歯肉に至るまで、口元の美しさを追求した、
総合的な歯科医療です。
美しい口元で、素敵な笑顔を手に入れましょう!
気になる事や、ご希望がございましたら、お気軽にご相談下さい。
ホワイトニング
医院にて歯の美白薬品を塗布した後、特別な機器の光を照射するホワイトニングです。
美白剤の主成分は過酸化水素で、消毒薬のオキシドールとして知られています。
欧米では、すでに100万人以上の方がこの技術で歯を美白しています。
喫煙や、コーヒー・紅茶の飲用などによる歯の変色、
老化や遺伝による黄ばみにも優れた効果があります。
ビヨンドシステム導入
歯科クリニックで行うホワイトニングシステムとして、
日本でNo.1の導入実績を持つホワイトニングです。
1~2回の通院で高い効果を発揮いたします。
施術はホワイトニングジェルを塗り、特殊な光を照射することで歯を白くするので、
健康な歯を傷つけることはありません。
ホワイトニングの所要時間は約60~90分です。
詳しくは医院にてご相談下さい。
当院にて採用している「ビヨンドシステム」の詳細はこちらからどうぞ。
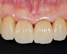
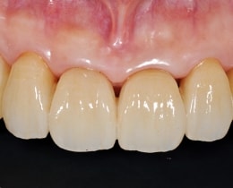
オールセラミックス・メタルボンド・ハイブリッドなど・・・
オールセラミック
内外共にセラミック素材で製作したもので、天然歯に近い自然な感じで見た目もよいです。
本来の天然歯と同じか、それ以上の色調・形態を再現します。
金属を使用しないため金属アレルギーの心配もありません。
・強度に優れているため、噛み合わせの強い方や、くいしばり・歯ぎしりをする方に有効
・非常に見た目が良く、ほとんど変色しない
・汚れ(プラーク)が付きにくい
・歯と分子レベルで強固に接着するため、治療した部分から虫歯になりにくい
ハイブリッドセラミック
セラミック(陶器)の粒子と、レジン(プラスチック)を混ぜ合わせて作ったものです。
セラミックよりもやわらかく、対合歯にも優しいというメリットがありますが、
色調は多少劣り、唾液を吸収し、経年的に変色します。
・色が白いので見た目が良い。
・硬すぎず、適度にすり減るので周囲の歯を傷めにくい。
・金属を使用していないので、金属アレルギーが起こらない。
・割れても修理しやすい。
当院にて採用している「ハイブリッドセラミックス」の詳細はこちらからどうぞ。
ハイブリッドキャドキャム
レジン(プラスチック)のブロックをCAD/CAMという機械で削り出して制作するクラウン(かぶせ物)です。※2014年4月より、小臼歯(4番、5番)のみ保険適用になりました。
<Font Color="FEFF1F">当院にて採用している「ジルライトクラウン」の詳細はこちらからどうぞ。</font>
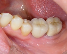
メタルボンド
メタルボンドとは、中身は金属で、
外から見える部分にのみセラミック等を貼り付けたクラウン(被せ物、差し歯)です。
見た目がよく、セラミックの場合は変色せず、強度も強いので非常によく使用されます。
・色が歯に似ているので見た目が良い。
・中身が金属なので強度が強く、ほとんどの部位に使用できる。
・中の金属に貴金属を使用することで、金属が溶け出すことによる歯ぐきの変色、
金属アレルギーなどが起こる可能性を低くすることができる。

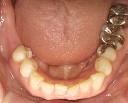
デンチャー(義歯・入れ歯)
当院では、満足度の高い義歯を提供出来るよう、多種多様なものを取り扱っております。
また、下顎の骨が痩せてしまって義歯が安定せず、お困りの方には「磁石式インプラント」を併用した義歯がおすすめです。
保険対応の義歯から、機能的で審美性の高い保険外義歯まで幅広く取り扱っております。
院長と相談しながら最適なものを選びましょう。
保険対応義歯
保険の入れ歯は使う材料の種類が限られているため、場合によっては残っている歯の色、形とのバランスが悪くなることがあります。
留め金があり、残っている歯を取り囲むようにして入れ歯を固定するため、歯の状態によっては、笑ったときに見えたり、多少口の中で違和感があります。
樹脂製の義歯は割れやすいので、かなり厚くなっています。
また、熱を伝えにくい材質なので、食べ物の温度、味覚が感じにくくなります。
ノンクラスプ義歯
審美性を追及した、バネの無い義歯です。
入れ歯と気づかれにくく、思い切り笑っていただくことができます。
吸水性が低いので表面に雑菌が付きづらいため臭くなりにくく人体へのなじみも良いです。
また、金属アレルギーの心配もなく、快適で自然な審美性の高い入れ歯です。
当院にて採用している「デンティース」の詳細はこちらからどうぞ。
金属床
フレームに金属を使用し、薄くて軽く、強度に優れ、密着性や装着感の高い義歯です。
金属は熱伝導率が高く、味覚のひとつである食べ物の温度が瞬時に伝わるため、
食感も楽しむことができます。雑菌や汚れも付着しにくく衛生的にも優れた入れ歯です。
軽くて丈夫、生体親和性の高いチタンやコバルト等を用いた義歯を提供しております。
磁石式インプラント義歯
当院では様々な衛生用品を取り扱っております。
歯ブラシ、歯磨き粉、歯間ブラシなど、みなさまに適したものをおすすめしております。
是非、歯科医院推奨の製品を使ってみて下さい。
ご満足いただけることと思います。
インプラント(人工歯根)
インプラントとは、歯が失われた場所に、人工歯根を埋め込み、歯槽骨に固定した後、
人工の歯を上から装着する治療方法です。
入れ歯で満足できない方は、インプラントを埋入することで、骨に直接固定され、
人工の歯で噛む振動がそのまま骨にも伝わり、身体の一部のように感じることができます。
この治療方法は外科手術を伴いますので、適応症例であるかどうか全身の健康状態をチェック・骨の状態など、より精密な検査を行い施術いたします。
使用感
・インプラントでは顎の骨で固定する治療法ですので、ガタついたり痛みを感じたりすること
がなく、天然の歯と同じような感覚でかむことができます。
・発音や発生の妨げになることがありません。
・入れ歯による唾液の分泌障害などを起こすことがありません。
天然歯への影響
・インプラント治療は健康な歯を削ったり支えにすることがないので
自分の歯を傷めることはありません。
味覚
・異物感がほとんどなく、しっかり安定していますので、ご自分の歯と同じように
おいしく食事ができます。
審美性
・入れ歯を固定する金属がないので、自然できれいな歯並びがよみがえります。
マウスピース
当院では、各種マウスピースを取り扱っております。
種類
・無呼吸症候群
・睡眠時の食いしばり、歯ぎしり
・スポーツマウスピースなど
お気軽にご相談下さい。



